CEREC Dental Crowns in Centennial, CO
Service in the Centennial, Southglenn, and Greenwood Village area
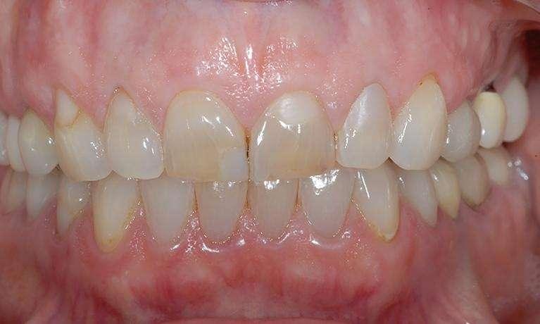
Many of us don't appreciate all the work our teeth do every day until one of them breaks or gets a cavity and stops functioning correctly. Missing teeth also takes a significant toll on your appearance, comfort, and confidence.
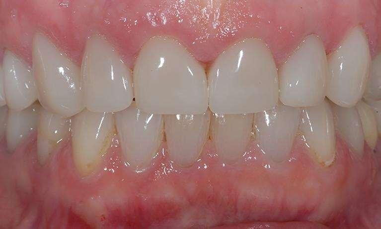
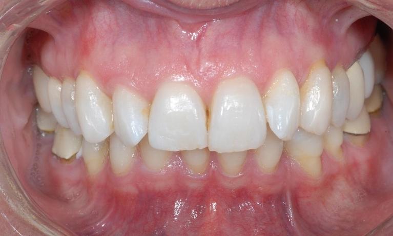
At the office of Michael J Franquemont DDS, your oral health matters to us, and so does your quality of life. We bring you the most updated dental care available today, and our state-of-the-art CEREC dental crowns and bridges can help you love your smile again.
Why We Recommend Dental Crowns in Greenwood Village
Our dentist in Centennial always chooses the most conservative option, and in many cases, a filling is all that's needed to restore a decayed, broken, or cracked tooth. However, there are several situations where the additional support provided by a dental crown is the best solution for protecting your oral health.
- A cavity is too extensive for a filling to protect the tooth
- A root-canaled tooth needs support and protection
- A dental bridge requires crowns placed on adjacent teeth
- A dental implant needs a crown to restore function and appearance
Rest assured that if Dr. Mike recommends a porcelain dental crown, he will explain why and how it will benefit your oral health in the long term.

implants at the sites of lost teeth to restore form and function. 

In decades of dentistry, the purpose of dental crowns hasn't changed. What has changed, however, is that CEREC technology has given us a way to streamline the process from weeks to hours. With CEREC, Dr. Mike can deliver beautiful, durable same-day dental crowns for his Centennial, CO, patients.